√ 重曹うがい虫歯治った 126257-重曹うがい 虫歯 治った
さて、重曹うがい、この今の痛みから解放させてくれるんでしょうかっ。 それとも、ここまで痛くなってしまったものは、無理なんでしょうか。 そもそも、重曹で虫歯を治すなんて、夢物語なのでしょうか。 さっさと歯医者行って、削ってもらえっ!「重曹水」で飲食後にうがいするだけで、象牙質に達している虫歯でも治ります。 たぶん世界で始めての虫歯が治っているという症例写真ですが、 歯科医学的にはあまりにも非常識すぎるので、 また、銀歯の場合などは重曹うがいをすることによるデメリットはないのかなどを調べてみまし重曹うがいをする際の注意点は次の通り 重曹水虫歯, 重曹は虫歯予防にも有効!?3つのメリットと注意点 重曹が虫歯の予防に有効であることを知っていましたか?簡単に手に入れることができて、口臭や虫歯予防に役立ちます。
重曹うがいの驚きの虫歯予防効果とゼロからはじめる方法をご紹介 歯科オンライン
重曹うがい 虫歯 治った
重曹うがい 虫歯 治った- 重曹は 弱アルカリ性 なので、菌が出す 酸を中和して歯の再石灰化を促す ので虫歯が治る、というワケです。 ただし、この重曹で治せるのは 軽めの虫歯 だけで、 症状が悪化している虫歯はちゃんと治療しないといけません。重曹うがい、重曹歯磨きで虫歯が治る 重曹うがいで虫歯になりにくくなります。 初期の虫歯は治ります! 一年間に回位は虫歯治療の為に通院を繰り返していました。 治療した歯がまた虫歯になり治療するという事を何度も何度も繰り返していました



歯医者いらずで虫歯も治る 重曹 を使ったデンタルケアがスゴい Peachy ライブドアニュース
こんにちは。 匿名歯科医師だ。 今回のテーマは 重曹うがいってどうなの。 だ。 最近、と言っても割と前だが とある歯医者のブログでご丁寧にお子さんのレントゲン写真を添えて 「虫歯になったけど、重曹うがいで治ったよ!!」 という内容の記事が書かれたことがあった。 「重曹うがいが虫歯に効果あり」 という驚きの情報を発見! いろんなところで「虫歯が治った!」とか絶賛されてるけど、「ホントかよ!?(^_^;)」と(苦笑) 引用元重曹うがいで虫歯が治る?ホントに効果はあるの?重曹うがいをすることで口の中が中和され、虫歯の進行も止まるし、初期なら治ってしまうこともあるならぜひ試してみたいですよね。 また、重曹うがいをすることで歯茎や舌の汚れも落ちて殺菌効果があるので、 口臭予防 にもなります。
Take control of your health and the planet's with expert tips on seasonal eating, shopping, proper storage, cooking, and reducing food wasteReview 重曹うがい image collection and 重曹うがい 歯茎 or 重曹うがい 虫歯 治った Enter そのホントとウソ 浦和の矯正歯科 驚きの効果! "重曹マウスウォッシュ"は初期虫歯も治す。 フッ素よりも効果的! 口臭対策にも最適! 料理やお掃除に使うイメージの 重曹 。 なんとマウスウォッシュにすると驚きの効果を発揮するんです! 知らなきゃソン! なその効果とは?
重曹うがいで虫歯は治る?歯の再生が可能な理由は? 出典:mspcyimgjp 重曹の正式名称は 炭酸水素ナトリウム。 弱アルカリ性の物質で、 料理や掃除 などいろいろな場面で使われています。 そんなものをうがいに使っても大丈夫なの?新説「深い虫歯も重曹で治る」⑥ ~効果的な方法と危険性・注意点(虫歯の進行を自力で止める38) の続きです。 虫歯の進行を止めるばかりか、象牙質に達した虫歯まで浅くなるという、歯科医学の常識を根底から覆す重曹洗口。 しかし、何人かの歯科 ところで、 フッ素 の予防効果について調べていると食後の重曹うがいで虫歯の進行がとまる、それどころか大きく空いた穴が 再石灰化 で埋まってしまう、という情報を得ました。



ひらた歯科クリニック 重曹うがい



黄ばんだ歯が白くなる 重曹うがいの効果とやり方 Hanone ハノネ 毎日キレイ 歯の本音メディア
「重曹水」で飲食後にうがいするだけで、象牙質に達している虫歯でも治ります。 たぶん世界で始めての虫歯が治っているという症例写真です。 飲食後酸性になっている口腔内を「重曹うがい」でアルカリ性にするということです。 詳しくはこちら 虫歯が治った症例については、下のページを見てみてください。 (Facebookの「いいね!」が2639回ついている、重曹うがいが流行るきっかけとなったページの一つです) 「重曹水」で虫歯が治った症例 デンタルフロスだけでなく、歯間ブラシも併用する



コンプリート 重曹 虫歯 治った タザモアウォール



重曹水 で虫歯が治った症例2 I歯科医院の高楊枝通信 楽天ブログ



酸蝕歯について 酸蝕歯の治療なら 歯を削らずに治す西村歯科医院



重曹水 で虫歯が治った症例1 I歯科医院の高楊枝通信 楽天ブログ



虫歯予防一口メモ I歯科医院の高楊枝通信 楽天ブログ



25年間絶えなかった虫歯 重曹 で虫歯がなくなった 最強の重曹うがい始めませんか



Q Tbn And9gcqnr1 Ebzgiv4rhjf Jwqfhyzrdzblozvg3n60yzagzd8igkves Usqp Cau



検証 歯の再石灰化 重曹うがいに挑戦 ぱぶろふといぬ



うがいをするときに重曹を使うとどんなメリットデメリットがあるの



持久力up 疲労回復 筋トレにも使える重曹使い方徹底マニュアル 旨ブロ 美味しい低糖質 ダイエットレシピサイト



重曹水 で虫歯が治った症例1 I歯科医院の高楊枝通信 楽天ブログ



虫歯も治っちゃう 重曹 で 万能うがい水 を作ろう Izilook



重曹で虫歯対策ができるって本当 歯周病予防やホワイトニング効果も 身嗜み オリーブオイルをひとまわし



重曹水 兵庫県高砂市の歯医者 藤原歯科医院 インプラント 歯周病治療 入れ歯 義歯 加古川市 姫路市



虫歯も治っちゃう 重曹 で 万能うがい水 を作ろう Izilook



重曹うがいの驚きの虫歯予防効果とゼロからはじめる方法をご紹介 歯科オンライン



重曹うがいの驚きの虫歯予防効果とゼロからはじめる方法をご紹介 歯科オンライン



Q Tbn And9gcr Qjptqaqu Xagczqabflx4iilfz36mz1dtr02g Sfv8 P3kdq Usqp Cau



重曹で虫歯対策ができるって本当 歯周病予防やホワイトニング効果も 身嗜み オリーブオイルをひとまわし



虫歯治療 黒い点 ーノーブルデンタルクリニック仙台 仙台駅東口 日曜診療 夜間診療



重曹が虫歯を救う I歯科医院の高楊枝通信 楽天ブログ



重曹うがいって何 重曹うがいの効果ややり方を調べてみた 覚書



重曹うがいで虫歯 口臭予防 ホワイトニングの効果やデメリットは もちやぷらす



Pin On 美容



ひらた歯科クリニック 重曹うがい



虫歯予防には重曹うがいが効果的 フッ素より優れていることが判明 Mylohas



重曹水うがいでまさかの美容効果 卵巣癌 子宮体癌ダブルキャンサー闘病からの経過観察記とヨガな日々



重曹水 で虫歯が治った症例2 I歯科医院の高楊枝通信 楽天ブログ



Q Tbn And9gcsqavojo6iqsjkxxcj3xxaan14 Sojl Xp4jcqtmyk Usqp Cau



意外な使い方 重曹を使った歯磨きのやり方とは やじべえの気になる



歯医者いらずで虫歯も治る 重曹 を使ったデンタルケアがスゴい Peachy ライブドアニュース



口臭 虫歯をシャットアウト 重層うがいの驚くべき効能 ライブドアニュース



重曹うがいで期待できる効果は 正しい方法は 危険性はないの



知ってる 重曹うがい で虫歯予防に 新城パーク歯科クリニック 土日診療 武蔵新城の歯科歯医者



重曹うがいは虫歯予防に効果があると思いますか Uebayashi Note



酸蝕歯について 酸蝕歯の治療なら 歯を削らずに治す西村歯科医院



重曹うがいの舌苔除去効果は 正しく舌をケアして口臭予防する



酸蝕歯について 酸蝕歯の治療なら 歯を削らずに治す西村歯科医院



薬剤 歯とお口のことなら何でもわかる テーマパーク80



重曹うがいの作り方 やり方 口腔ケアチャンネル 505 口腔ケアチャンネル2 178 Youtube



重曹うがい って本当に虫歯予防に効果があるの 副作用は Chintai情報局



山下陽光 虫歯を治すことができちゃう 重曹での歯磨きがスゴい Http T Co Wt8xrsakpz 歯磨きも効果あるけど 重曹うがいで こんなにも歯が白くなって 虫歯も治る 治るってどういう事だ と思った方 ガン見 Http T Co Mgntnhi91f



重曹で本当に歯は白くなるの 気になる効果まとめ



重曹うがいをおすすめする4つの理由とその効果 歯磨き粉は危険 Keco Labo



重曹うがい 歯茎



重曹うがいで風邪 口臭予防 のどの痛みにも効果的な重そううがいのやり方 おたすけごんたさん



重曹うがいで効果あり 口臭 口内炎 歯石 虫歯の予防 デンタルブログ お口のお悩みの原因と対策 すべての健康は歯から



重曹タンサン 共立食品の口コミ 重曹歯磨きは白くなるのか検証しました 撮っ By Anna Lips



重曹うがいのやり方と効果を検証してみた



歯のホワイトニング 重曹うがい の効果と正しいやり方 ニュースパス



重曹うがいは歯周病や口臭に効果あるの 生活に役立つ記事



重曹うがいの驚きの虫歯予防効果とゼロからはじめる方法をご紹介 歯科オンライン



虫歯 口臭を治したければ 書きほうだい 気晴らしのブログ



重曹うがいの驚きの虫歯予防効果とゼロからはじめる方法をご紹介 歯科オンライン



25年間絶えなかった虫歯 重曹 で虫歯がなくなった 最強の重曹うがい始めませんか



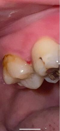
画像ありです このような虫歯があるのですが そこまで酷くないので削って Yahoo 知恵袋



意外な使い道 重曹うがい水でお口スッキリ 明日にも使える やさしい暮らしのためのお役立ち情報 Sooooos



重曹うがいの作り方 やり方 歯科ブログ 東村山市の歯科 歯医者はかわせ歯科



重曹うがいで虫歯は減るのか 福井のwebはケイショウ株式会社



重曹うがいの驚きの虫歯予防効果とゼロからはじめる方法をご紹介 歯科オンライン



重曹が虫歯に効くワケ I歯科医院の高楊枝通信 楽天ブログ



口臭や虫歯を重曹水うがいで簡単お手軽な予防 その作り方や使い方を解説 ぶっちゃけ Com



重曹うがいが 虫歯予防 口臭改善 になるってほんと 大崎の歯科 歯医者 大崎シティデンタル 丁寧で痛くない治療



虫歯の予防に重曹うがいを実行しています 作り方とやり方をご紹介 美遊伝



重曹うがい は最強のオーラルケア 虫歯 歯周病 歯肉炎 口臭などの歯のトラブルは 重曹うがい でさようなら 歯周病 虫歯 重曹



安くできる 重曹うがい で口臭予防 作り方と効果は



重曹で虫歯対策ができるって本当 歯周病予防やホワイトニング効果も 身嗜み オリーブオイルをひとまわし



1



重曹でのうがいの最適な濃度 分量とは デンタルブログ お口のお悩みの原因と対策 すべての健康は歯から



重曹うがいの驚きの虫歯予防効果とゼロからはじめる方法をご紹介 歯科オンライン



Twitter पर な な 重曹うがいの方法を調べたので早速購入しよう キッチンの魔法のパウダー 天外天シリンゴル重曹 ボトル390g 丹羽久 T Co Ksuelvhbe5 重曹の 食用 と 掃除用 の違いは 安全に効果的に使い分ける方法 T Co Ziztosj95v T



重曹うがい 虫歯 治った



重曹うがい 虫歯 治った



重曹で虫歯対策ができるって本当 歯周病予防やホワイトニング効果も 身嗜み オリーブオイルをひとまわし



酸蝕歯について 酸蝕歯の治療なら 歯を削らずに治す西村歯科医院



Pin On Health Stuff



重曹うがいの驚きの虫歯予防効果とゼロからはじめる方法をご紹介 歯科オンライン



酸蝕歯について 酸蝕歯の治療なら 歯を削らずに治す西村歯科医院



Pmtc 船橋市の矯正歯科専門 かねもと矯正歯科



リステリン10種類を買って試した結果 クールミントが一番人気です サンデーゲーマーのブログwp



重曹うがいが 虫歯予防 口臭改善 になるってほんと 大崎の歯科 歯医者 大崎シティデンタル 丁寧で痛くない治療



重曹うがい Twitter Search



驚きの効果 重曹マウスウォッシュ は初期虫歯も治す フッ素よりも効果的 口臭対策にも最適 Luline Magazine



重曹水 で虫歯が治った症例1 I歯科医院の高楊枝通信 楽天ブログ



酸蝕歯について 酸蝕歯の治療なら 歯を削らずに治す西村歯科医院



25年間絶えなかった虫歯 重曹 で虫歯がなくなった 最強の重曹うがい始めませんか



重曹は癌や 被爆 虫歯 肝臓病などあらゆる病気を治す効果がある 共存共栄 覚醒後の次のステージへ



25年間絶えなかった虫歯 重曹 で虫歯がなくなった 最強の重曹うがい始めませんか 虫歯 重曹 虫歯 治す



虫歯の予防方法として効果的な 重曹うがい について 和光おとなこども歯科ブログ



写真あり 重曹うがいで歯が溶けた 海外 歯チャンネル歯科相談室



だだっこのおススメ情報 重曹水でうがいをすると虫歯が治るかも



超簡単 うがい用重曹水の作り方 口臭予防にもなるし口の中がすっきりするよ 群馬県安中市の地域に密着 あやこまごころ診療所 院長 3児のママ女医あやこ先生のブログ



重曹うがいが 虫歯予防 口臭改善 になるってほんと 大崎の歯科 歯医者 大崎シティデンタル 丁寧で痛くない治療



重曹うがい でお口スッキリ 簡単で虫歯や歯周病にも効果的 Suzukinblog



Y4cxur1zg4t7zm



重曹うがいで口の中の酸性を中和して虫歯を防ぐ やり方と注意点 さくさくの日常



虫歯の痛みが取れてびっくり 重曹うがいの驚きの効果 わくわくジャーナル



重曹うがい 虫歯 治った



重曹うがい デメリット



安くできる 重曹うがい で口臭予防 作り方と効果は



重曹うがいは効果がないといわれる理由やデメリット 注意点も紹介 雑学屋さん



重曹うがいで虫歯の進行が止まり 痛みが治った体験談 小さな病気を自力で治す裏技集

コメント
コメントを投稿